Not persuaded yet? Thrombolysis for intermediate PE
April 12, 2014
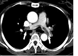
We’ve seen before that thrombolysis for intermediate PE (‘sub-massive’ with struggling right heart) doesn’t seem to save lives in the short term. PEITHO confirms that but there’s no long term data (cf MOPETT).