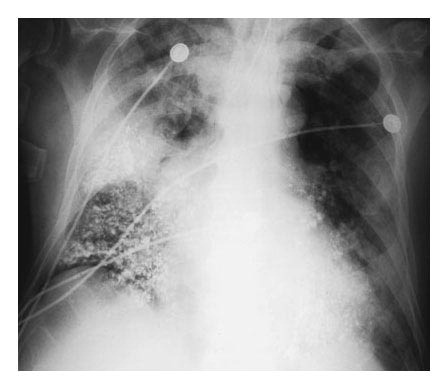
Using a ‘depletive’ strategy reduces VAP incidence says a study using data from a previous trial on the benefit of BNP in weaning.
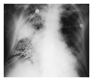
Using a ‘depletive’ strategy reduces VAP incidence says a study using data from a previous trial on the benefit of BNP in weaning.